O que é pé chato?
Flatfoot, como o nome sugere, refere-se ao colapso do arco do pé. Na verdade, o pé plano é uma deformidade multidimensional, que não só se manifesta como o colapso do arco longitudinal medial, mas também inclui o valgo do retropé e, em casos graves, pode até causar valgo do tornozelo. O colapso do arco e do retropé valgo são frequentemente acompanhados por uma deformidade de pronação do antepé.
Colapso do arco em Flatfoot

Retropé Valgo e Proeminência Medial em Pé Plano
Os pés chatos precisam de tratamento e quando?
De modo geral, a incidência de pés chatos é alta em crianças menores de 10 anos, mas à medida que o crescimento e o desenvolvimento progridem, o arco do pé irá melhorar e se recuperar gradualmente. Se após os 10 anos o arco não se recuperar, isso deve ser levado a sério. Se houver sintomas de longa duração, como dor, e a dor não puder ser aliviada mesmo com o uso de suportes de arco, ou se o grau de deformidade for grave; ou se houver mobilidade articular limitada e o arco não puder ser corrigido passivamente quando verificado, ou seja, o chamado pé plano rígido, é necessário procurar atendimento médico.
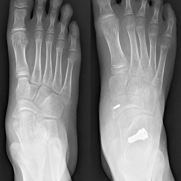
O que é cirurgia de órtese da articulação subtalar?
A cirurgia de órtese da articulação subtalar é uma medida de intervenção cirúrgica para o tratamento posterior do pé plano que não responde ao tratamento conservador. É um método de tratamento minimamente invasivo que corrige a deformidade do pé chato, colocando um "parafuso" entre o seio do tarso, tálus e calcâneo, conhecido como parafuso de estabilização da articulação subtalar.

Correção da rotação interna do tálus após órtese

Correção do afundamento do tálus após órtese

Recuperação do arco após cirurgia de órtese

Correção do retropé valgo após cirurgia de órtese
Recuperação pós-operatória
Após a colocação da cinta, pode-se caminhar assim que a ferida cicatrizar, o que geralmente leva cerca de duas semanas. Para evitar o impacto a longo prazo na articulação do dispositivo colocado dentro da articulação, recomenda-se remover o parafuso de estabilização da articulação subtalar após um ano.